When it comes to restorative dentistry, onlays offer an effective solution for patients with moderate tooth decay or damage. If you've been advised to consider an onlay, you might be wondering what it is and how it differs from other dental restorations.
An onlay is a type of indirect dental restoration that repairs a tooth with extensive decay or damage, particularly when the damage is too significant for a filling but not severe enough to require a full crown. Sometimes referred to as “partial crowns” because they cover one or more cusps (the raised points) of the tooth.
Unlike traditional fillings, which are applied directly to the tooth, onlays are fabricated outside the mouth—typically from materials such as porcelain, composite resin, or gold—before being bonded onto the affected tooth.
Onlays and inlays are similar in that they are both indirect restorations, but they serve slightly different purposes. An inlay fits within the grooves of a tooth but does not cover the cusps, while an onlay extends over one or more cusps for greater coverage.
Maintaining your restoration is similar to caring for your natural teeth. Regular brushing, flossing, and routine dental check-ups are essential to ensure the longevity of your restoration. Avoid chewing hard objects and consider wearing a nightguard if you grind your teeth.
If you have a damaged tooth but want to preserve as much of its natural structure as possible, an onlay may be an ideal choice. At Larkham House, our skilled dental team will assess your condition and recommend the best treatment tailored to your needs.
For more information or to schedule a consultation, contact Larkham House today. We’re here to help you achieve a healthier, stronger smile.

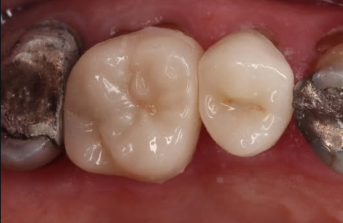
Onlay preparation & fitting example.
Back to Blog