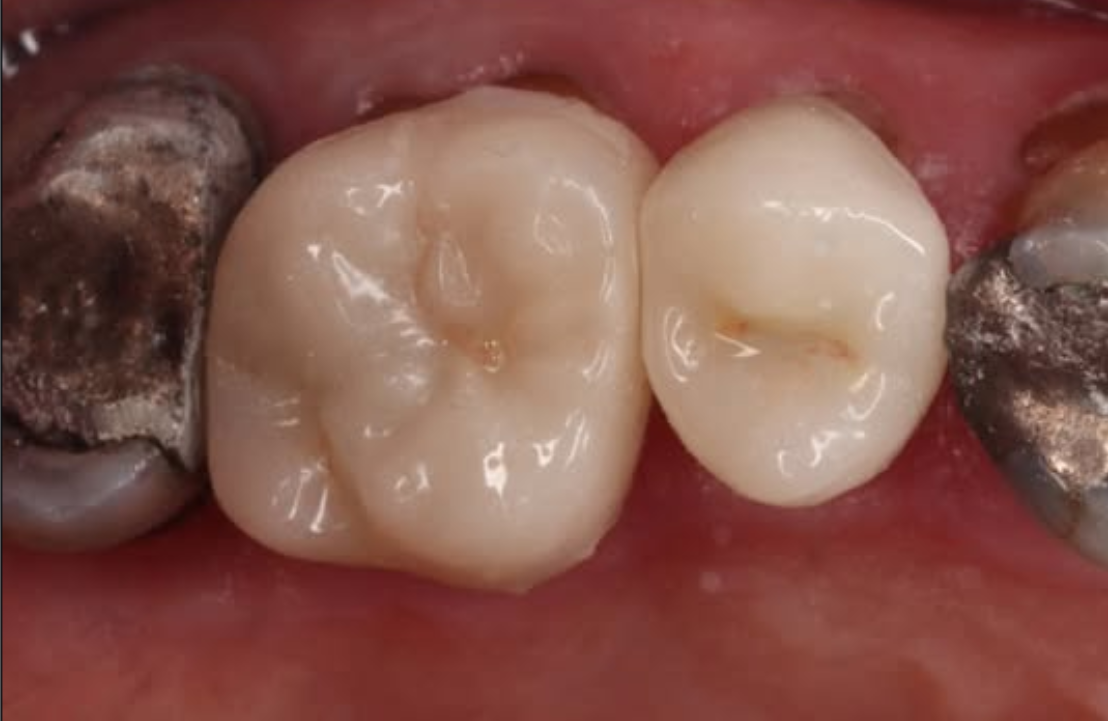
Double emax onlay before photo Before
Double Emax onlay after photo After

Double Emax Onlay Case

Dr Amir Jahromi replaced the restorations with Emax Onlays.

emax onlay Before
emax onlay After

Emax Onlay

Emax Onlay by Dr Amir Jahromi

double onlay case Before
double onlay case After

Double Onlay Case

Double Onlay Case by Dr Amir Jahromi.  

Crowns before Before
Temp crowns After

Cosmetic Crown Case

Upper crowns 3-3 to improve patients aesthetics.

GET IN TOUCH

What do they say about Larkham House?

“Working with this team is always seamless and enjoyable—top marks all around”

SSD Group

“Thank to the dentist, dental nurse and reception staff for their care and friendliness on our last visit. Highly recommend this dental practice.”

Angela

“Great team and excellent service. Always very helpful and honest.”

Claire

“After being referred here by my old dentist for a dental implant. I ended up switching to here. So friendly, great what they do, easy to get an appointment, plenty of parking.”

Thomas

“I highly recommend Larkham House dentistry. As a very anxious person & fear of the dentist, they really look after you. I had Dr V Giddani for few visits what a caring Dentist he...”

MC

“We spent some time yesterday at Larkham House Dental Practice and received 100% treatment and care. The Reception Team, Dentist and Hygienist were excellent and we came away feeling very blessed. We look forward...”

Peter

“Never been disappointed there. Staff is friendly and they actually care. My dentist marko roberta (i think she's called), is so friendly and makes an appointment a breeze. The 2 people in the reception...”

Marco

  • 49 Larkham Lane
  • Plymouth
  • PL7 4PH
Google Rating
5.0
Google Rating
Google Rating