Teeth Whitening

Looking for brighter, whiter teeth to improve your smile?

A brighter, whiter smile can boost your confidence and transform your appearance. At Larkham House Dental Practice, we provide safe, effective, and personalised professional teeth whitening treatments to help you achieve the results you’re looking for.

GET IN TOUCH

Lady at dentist
Man happy looking into mirror at dentist
whitening video image

Teeth Whitening

A brighter, whiter smile can boost your confidence and transform your appearance. With cosmetic dentistry at  Larkham House Dental Practice, we provide safe, effective, and personalised professional teeth whitening treatments to help you achieve the results you’re looking for.

Why Consider Professional Teeth Whitening?

Over time, teeth naturally lose their brightness due to:

Coffee, tea, red wine, and other staining foods/drinks

Smoking or tobacco use

 

Ageing, which darkens enamel

Certain medications or trauma to teeth

Professional whitening offers:

Safe treatment under the care of qualified dentists

Noticeable results that drugstore whitening products cannot achieve

Long-lasting effects with proper care

A tailored treatment plan specific to your smile goals

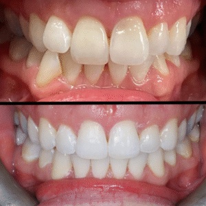
whitening before and after

Safety, Sensitivity & Possible Complications

Is it safe?

Yes. Clinical studies show whitening with dentist-supervised products is safe. The effect on enamel from a full course of whitening is no greater than drinking one fizzy drink.

Will it hurt?

Some patients may experience temporary tooth sensitivity or gum irritation. These effects usually disappear once treatment ends. Sensitive-tooth toothpaste can help manage this.

Will it whiten crowns or fillings?

No. Whitening only works on natural teeth. Alternative cosmetic options can be discussed for crowns, veneers, or composite restorations.

How Long Will Results Last?

Results can last up to three years, depending on your lifestyle. You can extend results by:

Brushing twice daily with fluoride toothpaste

Reducing coffee, tea, red wine, and tobacco use

Attending regular hygiene visits for stain removal

Step-by-Step: How Teeth Whitening Works at Larkham House

Initial Examination & Consultation

Our dentists perform a full dental check-up to ensure whitening is suitable for you.

We discuss your goals and design a customised whitening programme.

Impressions or Scan

Putty impressions or a digital scan will be taken to send to the lab to construct moulded trays. 

Tray Fitting

Trays are tried in & a demo application of the whitening done in the dental chair. 

Application of Whitening Gel At Home

The trays are filled with a professional-grade whitening gel (carbamide peroxide).

They can be worn overnight or during a one-hour daily session.

Visible Results

Most patients see results after 10–14 applications.

Trays can be reused in the future for touch-ups.

Review

We review in 2 weeks to check everything is going well & you are happy with the results. 

tooth whitening

Alternatives to Professional Whitening

At Larkham House, we also offer other treatments to brighten your smile:

Whitening Toothpaste
While these don’t change the natural colour of teeth, they can help maintain results by removing surface stains.

Internal Bleaching
For non-vital (root-filled or traumatised) teeth that have darkened, bleach is applied inside the tooth until the desired shade is reached.

Guided Biofilm Therapy (GBT) with AIRFLOW®
A gentle yet powerful cleaning method using warm water, air, and fine powder to remove stains and biofilm. Perfect for patients who prefer a natural polish without bleaching agents.

Why Choose Larkham House for Teeth Whitening

Fully qualified and experienced dental team

Safe, regulated whitening systems

Tailored treatments designed around your needs

Latest technology including GBT Airflow® cleaning for ongoing maintenance

Your brighter smile begins here. Book your professional teeth whitening consultation at Larkham House Dental Practice today

composite bonding featured image

The Benefits of Tooth Whitening

Before we delve into the world of tooth whitening, let’s first understand why teeth discolour. Several factors contribute to tooth discoloration, including diet, tobacco use, poor oral hygiene, aging, and genetics.

Airflow machine

GBT Certified Dental Practice

At Larkham House Dental Practice, we are always committed to staying at the forefront of dental care. We’re proud to announce that we are now officially a Guided Biofilm Therapy (GBT) Certified Practice.

FOR MORE INFORMATION REGARDING THIS TREATMENT

Call 01752 343 140 Contact
Back to Cosmetic Dentistry

GET IN TOUCH

What do they say about Larkham House?

“Working with this team is always seamless and enjoyable—top marks all around”

SSD Group

“Thank to the dentist, dental nurse and reception staff for their care and friendliness on our last visit. Highly recommend this dental practice.”

Angela

“Great team and excellent service. Always very helpful and honest.”

Claire

“After being referred here by my old dentist for a dental implant. I ended up switching to here. So friendly, great what they do, easy to get an appointment, plenty of parking.”

Thomas

“I highly recommend Larkham House dentistry. As a very anxious person & fear of the dentist, they really look after you. I had Dr V Giddani for few visits what a caring Dentist he...”

MC

“We spent some time yesterday at Larkham House Dental Practice and received 100% treatment and care. The Reception Team, Dentist and Hygienist were excellent and we came away feeling very blessed. We look forward...”

Peter

“Never been disappointed there. Staff is friendly and they actually care. My dentist marko roberta (i think she's called), is so friendly and makes an appointment a breeze. The 2 people in the reception...”

Marco

  • 49 Larkham Lane
  • Plymouth
  • PL7 4PH
Google Rating
5.0
Google Rating
Google Rating